平成17年7月23日(土)
今日は相方と共に面会へ。
午前中に用事を済ませ、3時に病室入り。
息子はナースステーションでAKさんと散歩中。
左手は、骨折のため吊っている。
しかし、自分たちが起こした事故でよかった。
いくらプロとはいえ、鈍くさい息子が転べばどうなるかわからない。
そうなれば、扱い方・接し方も変えざるを得ないだろうし、
怪我をさせてしまったという心の傷も残るだろう。
息子の骨は1ヶ月すれば治る。
他は何もかわないのである。
ベッドに連れてこられた息子は、
「パパママパパママ・・・」
と連呼。
今日はご機嫌だな。
早速おやつ。
ヨーグルトと果物か?
美味しそうに大きな口を開ける。
おやつって素晴らしい。
![]() |
動物園のカ○状態。 |
食べ終わるやいなや散歩とせかされるが、
日が傾いて涼しくなったら外に行こうよ。
ここはバッテリー節約だよ。
・・・そんなこと、息子がわかるはずもなく・・・
靴を指さして大暴れ。
えーい!
もう行っちゃうか!
服を着替えてLet's go!
![]() |
幼稚園に行くの? みんなにそう声をかけられ。 |
外へ出ると、息子は解き放たれたように生き生きする。
ルートを確保しながら点滴台を持ち上げて付いていく。
あうあう何だか独り言をつぶやきながら、あっちこっち気ままに動く。
台風のように方向が読めない。
![]() |
あそこにキュッキュがあるよ。 ん? |
![]() |
ちょっと待った! |
![]() |
ボクの後ろに付いてこい! ・・・ハイハイ。 |
幸い丁度日が陰り、その分ついつい長居してしまう。
40分ぐらい居てしまったか?
そろそろ帰ろうよ。
散歩から戻り、ナースステーションで「お帰り〜」などと声をかけられてた、
正にその時。
ガタガタガタッ!と異常な音が。
「地震だ!」
看護師さんの叫びに、初めてそれと気が付く。
それくらい異常な揺れだった。
まだ揺れている・・・長いな。
あ?また揺れだした?余震?
看護師さんが慌てて各部屋異常がないかチェックに走る。
幸い、何処も無事であった。
震度5弱の地震であった。
この間も息子は動じず、いや気が付いていないようだった。
息子を着替えさせベッドで遊んでいると、
ブリブリブリ〜!と、出たなこりゃ。
見ると良質の運子が。
こんなの初めて、過去最高の出来映えであった。
看護師さんにお願いし、息子のレントゲン写真を見せてもらうことに。
研修の先生を呼んで頂き、説明を受ける。
神経を圧迫すれば痛むだろうし、血管を傷つけていれば腫れ上がる。
どちらも全く見られず、本人にも痛みはないだろう。
全く不幸中の幸いであった、との事。
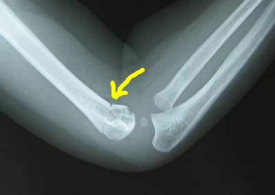
![]() |
矢印の先、 黒く凹んでいるのがわかるでしょうか。 折れているんだそうです。 |
晩ご飯はお粥とサケ・スープ、トマト、スープ。
トマトをきっかけに、スムーズに食べ出す。
おやつ分、1回の食事量が減っているので、
飽きる前に間食となる。
おやつ万歳!である。
プレールームも右に左に大忙し。
なぜだかホワイトボード用のペンが全く無い。
オモチャで遊ぶ。
ベッドに戻ってエレンタール。
おむつも換えて、まったり遊ぶ。
寝そうで寝ないのでSGさんに託し、
笑顔でバイバイ。
また外散歩しような。
![]() |
ゴクゴクゴク・・・。 片手で器用に飲むな。 |
![]() |
へっ、ちょろいもんよ。 それより転落しなきゃいいだろうに。 |