平成17年8月6日(土)
今日は相方と面会に。
それにしても良い天気、とても暑い。
病院に入ると、息子はNSステーションを散歩中であった。
私たちを見つけて、喚起の奇声を発す。
今日も元気なようだ。
ベッドに連れてきて、バッテリーを充電しながら遊ばせる。
散歩のためにとっておかないと。
午前中に床掃除があり、ピカピカである。
しかしその際にメリーを破損してしまったと、
業者の方?が謝りに来る。
弁償すると言われたが、この程度なら良しとしましょう。
それにこのメリー、あまり好きじゃないんだよな・・・。
名古屋にいた頃、さよならは必ずこの曲だった。
一人、新幹線に乗り込み、東京に戻った。
聞く度に思い出す。
だから、あんまりなのだ。
ラッキーなことに、整形の先生がいらっしゃり、お話を聞く。
経過は順調、新たな骨もできはじめている。
ギプスも石膏のそれではなく、
すぽっと腕を通すタイプのものである。
だから、腕を拭くこともできる。
あと1週間ほどで取ってよいだろう。
とのこと。
ただ成長すると、腕を伸ばした時に少し内側に入るようになるかもしれない。
しかしそれは生活に支障はないし、
おそらくそうなる可能性も低いだろう。
先生、お忙しい中、ありがとうございました。
![]() |
![]() |
![]() |
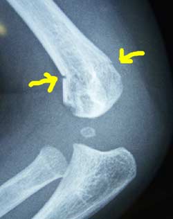
| 7月21日 骨折直後 矢印と矢印の間、線が見える。 子供の骨は軟らかいので、ボキッとおれず、若草を折ったようになるそう。 硬い割り箸との違いか。 |
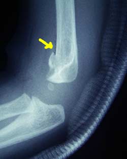
7月28日 まだ段差が確認できる。 しかし骨はまっすぐで、何も異常は認められない。 |
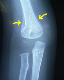
8月3日 うっすらと新しい骨が見える。一時的に骨が太くなるが、成長と共に他の部分とかわらなくなるそう。 あと一週間でギプス卒業である。 |
日が落ち始めた16時半頃、散歩の準備を始める。
![]() |
早く行こうよ〜! 自分で靴下を履こうとするが、当然それはまだできません。 |
![]() |
今日は天気だから、絶対気持ちいいよ〜 こっちは暑くて大変だぞ、田舎ッぺ大将よ。 |
エレベーターも全く怖がらず。
最近は連れ出すのも楽になった。
![]() |
あっちのブーブ、こっちのブーブ・・・。 どっちがいいかなぁ? 貰えるはずは、絶対無いぞ。 |
走る、走る。
点滴台はアスファルトの上を転がすと、振動で気泡が混じる。
なのでずうっと浮かせるように持ち上げたまま。
この汗、感謝しろよな息子よ。
![]() |
あ〜! 楽しかった!! |
散歩から戻ると、いつものように体温測定、
ホットタオルで清拭を。
着替えが終わる頃、マンマ到着。
ここ数日、「マンマ!マンマ!」と叫ばなくなった。
ADさん、悲しむぞ。
「ご飯食べる?」
と聞くと、イヤイヤと。
無理矢理連れて行き、ピンクの子供椅子に座らせる。
急に、うが〜!と私を叩き出す。
何だ?見ると私が黄色いラインの内側に。
え?俺、怒られてるの?!
息子は相変わらずマイペース、ママの椅子の方が良いと交換を。
ご飯はトマトを皮切りに、ぱくぱく食べ出す。
ブロッコリーを少々とスープを残し、あとは完食。
食うんなら、初めからイヤイヤすんなよ。
食後も元気に散歩。
廊下を行ったり来たり、プレイルームでも大暴れであった。
![]() |
まるで形見のように、 ジジババの名札を離さない息子。 |
![]() |
ここはやっぱり郵政民営化・・・。 何処見て飲んでる?? |
![]() |
がおー!! ボク様のお通りだ! まるで将軍である。 |
胃ロウを落とした代わりに、腸の負担は減って順調なよう。
来週はギプスも取れるし、ビデオを撮ってS院とK先生に送ろう。
多くの方が、息子の事を想ってくださっています。
本当に有り難い限りです。