おママがHの面会に。
そこに先生からお話が。
ずいぶんと良くなった。
酸素の補助は入院時の1/3でよくなった。
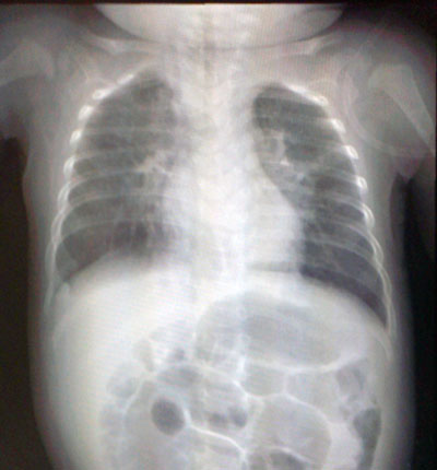
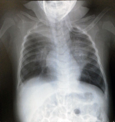
昨日撮ったX線写真。
炎症の白い影が減っている。

明日明後日で酸素を止めて様子を見たい。
問題がなければ、早ければ金曜にも退院できるだろう。
とのことであった。
ゼロゼロ感がなくなった後も、
白い影が完全に消えるのには時間がかかる。
しかし血液検査の炎症反応も下がっている。
点滴も今日で止めた。
(抗生剤は明後日まで継続するので、針は留置したまま)
そして入院後に再度撮影した画像を見せて頂いた。
肺の上部が潰れている。 (←ロールオーバー有り)
かなり良くない状態であった。

つまり入院時はまだピークではなかったってこと。
ケッコー危ない状態だったんだな・・・。
退院してしばらくは、まぁインフルエンザの時期でもあるし、
家でゆっくりさせること。
との事であった。
![]() |
今日も表情は良い。 |
看護師さんからよく「かわいい」と言われるそう。
社交辞令というわけでもないらしい。
このボケラ具合がくすぐるのだろうか。
よく首は動くようになったが、
寝てばっかりだったせいか頭の絶壁が増したようにも思う。
横を向いた姿は、まるでクッキーマン
のようだ。
![]() |
自ら横になる。 絶対どこかがおかしいぞ、オマエ。 |
昨日は腹痛に見舞われたS。
今日も覇気はないが、登校して行った。
が・・・牛乳の代わりの水筒と、歯の矯正具を忘れて行った・・・。
やっぱりボケラ〜としている。
水分補給と歯にかかわる案件なので、おママが小学校まで届ける事に。
休み時間を狙って、教室を覗く。
するとS、ストーブ辺りで1人でボケラ〜っと・・・。
誰かと遊ぶわけでもなく、ストーブに当たるわけでもなく・・・。
クラスに受け入れてもらえてるのかしら・・・?
おママは心配になったそう。
さて・・・。
今日はTB先生の定期診察。
昨日お腹が痛く、嘔吐した。
腸の動きは悪くない、胃だろう。
ということで、胃の薬を処方頂いた。
そして、ついに、あの話題。
4月で異動になった。
ここの小児外科も閉鎖になる。
いつかは異動があることは、以前に伺っていたことである。
しかし今回はより現実的な噂を耳にしていた。
どこかで間違いであって欲しいと願っていたが・・・。
でも、ここまで近くで診て頂けたこと自体が幸運だった。
遠くなっても通いますよ、ええ。
(胃ロウが外れるまで)もう少しなんだけどな・・・。
Sは一生体調に気を付けなくてはならないし、服用も必要である。
しかし小児外科医であるTB先生からは、いずれ離れなければならない時が来る。
話は将来に飛ぶ。
短小腸の子は大学生くらいになると、必ずといっていいほど調子を崩す。
ただでさえ親の言うことを聞かなくなる年代だし、
親元を離れたり、外食が多くなったりする。
特に短小腸にお酒はテキメンで、男の子など勧められたら断りにくく、また飲酒への興味も湧く。
しかしそれにより入院が必要なほど体調を崩す子も少なくない。
通常の下痢と違って、短小腸だと必要なものまで出ていってしまう。
大学生〜就職時期を乗り越えれば、次第に落ち着くのだが・・・。
とにかく、次の目標は胃ロウ(夜間注入)離脱。
まずはここを越えねばならない。
あと、ネショに新たな薬剤を追加することになった。
さすがにこの春で3年生、先生もいよいよ動き出すようだ。
Sの受診で、Hの面会は私1人。
昨日から相部屋に移ったH、ちょうどOZ看護師さんが。
見ると酸素チューブがない。
これはイケたか?と思ったら、
(元気になって)チューブを取っちゃうので、マスクにしようとしてたんです。
とのこと。
何だ、残念。

午前中も酸素を外してみたんですが、どうしても(酸素濃度が)安定しなくて・・・。
では明日の退院は?
ありません。
まだ肺雑もありますし・・・。
いやHは出生時もそうだったんですよ・・・。
症状に現れるわけではないので退院させてもらったが、
何だか延びそうな予感がする・・・。
マスクをベロンベロン舐めるH。
ある意味自ら外さないので目的は達するが、舌が出がちになりはしないか・・・。
(ダウン症は舌が出たままになりやすい)
Hはミルク150mLを完食。
ふぅ、と思ったところで、ブリッ!ブリ〜!!と・・・。
ふぅ・・・。

おママがHの面会、代わりに私が早くに帰宅。
といっても、Sはもう留守番が慣れっこで、
自由気ままに録画TVなどを見たり、wiiをやったり、自由を謳歌している。
S「あ、来てたのか。」
と封を開け始めたのはZ会の採点用紙。
満点でなく悔しがるS。

まだ、純粋に点を取ることが楽しい年頃。
この時期にできるだけ伸ばしておきたかったが、既にのりしろが・・・。
夜、おママが帰宅。
Hは明日、退院許可が出たそうだ。
いよいよヤツが帰ってくる。
本当に2週間弱かかってしまった
何だかSがボーっとしているので、
学校で何かあったか心配になったおママ。
今晩はSと布団を並べて隣に寝ることにした。
マ「昨晩は大変だった!」
と、アサイチで、おママ。
Sが夜通し魘されて、殆ど寝かせてもらえなかったそう。
やはり鼻づまりが酷く、とても息苦しそうだとのこと。
昨夜のSは、珍しくあっという間に意識不明になったそう。
余程寝不足状態であったに違いない。
ボケラ〜としているのも頷ける。
いつもの小児科クリニックに連れて行きたいが、
インフルエンザやロタが猛威を振るい、超満員のよう。
それをもらってしまう危険があり、できる限り近づきたくない・・・。
まあ、それはさておき、まずはHを迎えに行かないと。
車で10分チョイ、退院なので特別に出入り口近くに駐車させて頂く。
病院に入ると・・・インフルエンザだろう、マスクをして倒れているヒト、多数・・・。
オソロシイ・・・。
一方、午前の入院病棟は閑散としている。
というか、Hともう一人が退院することにより、
小児の入院患者がゼロになる。
おママが退院手続きをしている間、Hの帰り支度を整える。
精算等は後日なので、スンナリ終わって帰宅となった。
![]() |
ついに、Hが帰ってきた。 |
途中から空腹で泣き始めたH。
かといって量が進まないのは、まだ余波があるからだろう。
![]() |
Sも大喜び。 |
10日超の入院中は、殆ど発達の促しができなかった。
点滴や酸素チューブ、抱き上げればサチュがピーピー鳴るし。
![]() |
しかし、あと少しで寝返りそうに。 |
どうだ、遅くてもちゃんと成長しているじゃないか。
ただ向き癖と、呼吸困難による漏斗胸は強くなってしまった。
さぁ、リスタートだ。
マ「昨晩は大変だった!」
と、アサイチで、おママ。
Hが2時頃から起きて寝てくれず、
かといってミルクを飲んでもくれず、
グズグズグズグズして眠らせてくれなかったそう。
昼夜逆転してるのか、H・・・。
小学校の宿題。
「自分を振り返る」的な、いわば親にどんな子供だったか聞いて、
どんなに愛されているか知り、自信を付けさせようとする企画。
しかし、S・・・。
![]() |
自分でやっちまっていた。 3才の頃 にゅういん たいいん 4才の頃 ようち園 入いんたいいん かぜ 5才の頃 かぜようち園 ・・・おーい・・・。 |
両親にインタビューするはずが、
忘れていたのか面倒だったのか、明日が提出の〆切日。
![]() |
写真を見せ、昔の話をするおママ。 |
![]() |
退院してからは大きなアルバム。 |
![]() |
ちなみに放置中のH。 固定されてた左もよく動く。 |
しかし生まれてから幼稚園に入る頃か、
いや幼稚園に入ってからも苦労が絶えなかった。
いつ命の灯火が消えてもおかしくない疾患。
奇跡的な巡り合わせでほぼ普通の生活が送れるようになった。
ハタから見れば、「ウルトラ・ラッキー」なのかもしれない。
しかしそこに至る道のりはイバラそのもの。
闘いばかりで「エピソード」なんて辛いものが殆どだし、
ナニが何mL飲めた、体重が何キロ越したなんて、普通のヒトには何の事だか理解不能だろう。
まだ治療の過程の途中だし、そもそもきれいサッパリ「無かったこと」になるわけではない。
現在も努力は続いており、一生付き合って行かなくてはならない現実がある。
とにかく、思い出すだけで苦しくなるのである。
おママはもう昨日から様子がおかしかった。
・・・先生、この宿題、ウチの家庭にはちょっと無理ッス。
なので、私が回答を作成してしまった。
キレイに書き写すこと、それがSの宿題となった。
それもSには難しいが
![]() |
![]() |
ところで・・・。
実はS、昨日からゲーム禁止の刑に服している。
今回の宿題を忘れていたこともそうだし、とにかく普段から注意力が欠落している。
何か一つでも気を付けることができるようになるまで、お預けにした。
もともと土日のみの約束である。
滅多にできない大好きなゲームの禁止に、
S「え〜!!」
しかし、すぐに自分の世界で遊び出すS。
![]() |
ポケモン作り。 |
![]() |
ジオラマまで・・・。 Sが撮った3枚の写真をつなげてみた。 |
これまで治療のため、我慢が強いられることが多かったS。
それも生命維持に直結する食事や水分摂取すら、
「ダメ」と言われれば絶対に背くことは許されなかったからだろうか。
得られない事に慣れている。
あまりにも許されない事に慣れている。
ダメならダメ、ないならないで、さっさと別世界に入ってしまう。
つまり罰が罰にならない。
これは困った。
一筋縄ではいかない小僧である。
![]() |
SはHの写真を撮りまくり。 |
![]() |
撮ってももらう。 |
![]() |
また撮って。 |
![]() |
風呂上がりも・・・。 |
可愛くて仕方がないようである。
さて、Sの鼻づまりを何とかしなくてはならない。
そもそも何で鼻が詰まるのか。
ネブライザーで鼻水を緩めても、効果が得られない。
鼻の何処かが腫れていて道を塞ぐのであれば、鼻水は関係ない。
腫れを引かすにはステロイドだ。
点鼻ステロイドを引っ張り出した。
これで劇的に改善してくれると期待する。
ちなみにSの食欲はカナリ低下している。
お腹も久々に水様便になり、S錠剤を倍量にした。
とにかく眠りの質を上げること。
まずはそこからだ。
![]() |
思い出の品はこれ。 説明はいらないよね? 宝物である。 |
昨晩のSはとても静かに寝ていた。
十分に睡眠が取れたからだろうか、活力と食欲が出てきたそうだ。
点鼻ステ作戦、大成功。
次はどのように点鼻と付き合っていくかだ。
Hもまた昨夜はグッスリと寝てくれたよう。
環境が大きく変わり、リズムが狂っただけだったか。

Sは(算数だか工作だかに使う)「箱」を、
明日までに学校にもって行かなくてはならないことになっている。
おママがSに問うと、
S「あ、そうだったそうだった。」
本来はSからおママに頼んで箱を用意してもらわねばならないのに、
Sはそんなこと一切言ってこない。
おママは先生からのお便りを見て、ギリギリまで待っている。
(昨日のインタビューもそうだ)
本当はここで手を差しのべずに、忘れ物を自覚させるのだろう。
しかしSときたら、注意力が内だけでなく、
服は前後逆だったり、昨晩からのオムツも昼まで履いたままだったり、
とにかく頓着が無さ過ぎるのである。
学校で忘れ物に「×」が付こうがどうなろうが、全く動じることがない。
朝自分で起きる約束も、ここまで魘されて睡眠不足だと起こさざるを得ない。
でないと登校拒否並に連日休みになっていただろう。
ご飯も休み休みでいいから食べさせないと体重が増えないし、
そういうだらだら食べはメリハリがなくなるし、それ以外の時間が短くなり余裕がなくなる。
Sの性格もあるのだが、
このあたりも病気の辛いところである。
