平成24年11月7日(水)
抗生剤服用2日目。
腸はまだ耐えている。
崩すとすれば、服用開始から3〜4日後だ。
![]() |
起きあがる元気がでてきた。 |
薬の効き目にしては早すぎる。
このあたりは自力体力だろう。
かといって治りきるわけではなく、
これがくすぶる要因だろう。
せっかく抗菌剤を用いるんだから、しっかり叩いて治したい。
![]() |
食欲も出てきた。 |
![]() |
食べれば、力も湧く。 |
ただ、調子に乗ってゼリーまで食べ、
S「イタタタタ!お腹がイタイ!!」
と倒れてしまった。
アタマ、使えよな・・・。
![]() |
コイツはもとから食欲アリ。 |
ただHは昨日の検査の影響(睡眠薬入りシロップを大量服用)だろう、
お腹が緩くOB爆発したそうだ。
![]() |
コイツに移らねばいいが・・・。 |
平成24年11月8日(木)
S「明日から学校に行きたい!」
と、ゴネるS。
待て待て、明日1日休めば土日含め3日間休める。
明日登校して悪化でもしたら、また振り出しだ。
S「外にも出られないし、遊べないし!!」
仕方ねぇだろ、人一倍体調には気を遣わねばならんのだ。
これだけの意欲があるのであれば随分回復してきたのかと思いきや、
夕食後には頭痛と膨満感で倒れ込んでしまった。
単に遊びたくて鬱々としているだけのようだ。
さて、明日はおママのお仕事、お客さんが家に来るのだが、
マ「小学生が、平日に家に居るのって、変よねぇ・・・。」
風邪を移しちゃ悪いから、伝えておかなきゃという意味だったのだが、
S「『居ないふりしろ』って言われた〜!!」
体調が悪いと、被害妄想バリバリである。
![]() |
Sの体重27.6kg(食前)。 |
一歩下がって、また下がる。
とにかく出直しだ。
それしかない。
![]() |
ソファーを使って、ハイハイの手の練習。 肘を伸ばして欲しいのだが、 アニキ同様頑固者。 |
平成24年11月9日(金)
万全ではないものの、日を追うごとに元気になるS。
うるさすぎておママが休めず、体調が上向かない。
仕事が入って逆に落ち着く。
Sはちょろちょろ邪魔しに来たりしたが、
大事にはならなかったようだ。
![]() |
特訓、箸ビーズ。 こういうの、やってこなかったからなぁ。 |
抗菌剤服用開始から今日で4日目。
お腹はまだ崩れていない。
症状も軽快しているから、きっと月曜から学校に行けるな。
明日、クリニックに行ってみよう。
最後まで菌を叩くよう、追加で抗菌剤が処方されるだろう。
平成24年11月10日(土)
朝一でクリニック。
![]() |
やっぱりマイコだったよ。 |
最近のマイコは薬剤耐性菌も増えてきている。
ソイツでなくて本当によかった。
随分よくなったね。
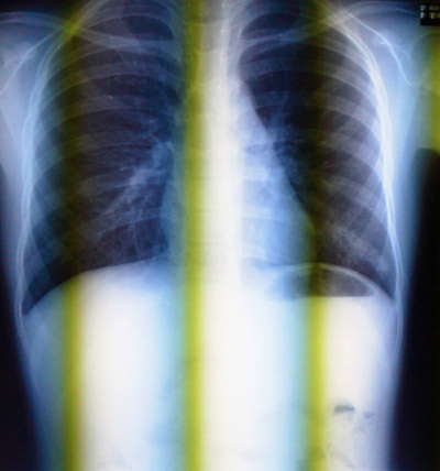
X線、撮って確認しとこうか。
![]() |
うん、キレイになった。 |
あと5日分、抗菌剤を追加しておく。
月曜から学校に行っていいよ。
と、お墨付きを頂いた。
よかった、お腹が保って。
また1手使えることもわかったし。
立て直すのも、傷が浅いに越したことはない。
先のTB先生の受診後から成分栄養剤を通常濃度に戻していたが、
それを当分継続させよう。
今はネショより腸が大事だ。
さて、晴れているのは今日限り。
午後は学校でやるはずだった、風車づくり。
![]() |
随分上手くなった。 真っ直ぐ切れている。 |
工作を誉められたことが嬉しかったのか、後に感想にも書いていた。
オレはハサミを上下逆に持つことがなくなったと
![]() |
・・・??? ただ、発想力は極貧で・・・。 |
「何のための」作業かわかれば、おのずとどうすればよいのかわかる。
しかし先が見えていないし、だから今その行程の意味まで至らない。
どう工夫してよいのかわからない。
羽を折り曲げるところを切り落とすところだった
見て真似る力。
形の想像力。
どうすれば身に付くのだろう。
ずっと悩んでいる課題である。
![]() |
早速試運転。 |
S「動かない〜!!」
糸が絡んでるだろう、風にも向いていないしよ。
ここらアタリの勘も、激しく乏しい。
![]() |
虫眼鏡で光を集める。 |
![]() |
これだけのことがSには難しい。 どうしても光にレンズを垂直に合わすことができないのだ。 |
![]() |
ホレ、体が曲がって横で作業してるだろ。 まずは体の正面に持ってきな。 |
S「ケムリ出てきた!」
ホラな。
体の中心、真ん前。
それが大事なんだぞ。
![]() |
黙々と燃やし続けるS。 |
S「アッチイ!!」
そりゃ、火だからな。
こういう経験が、今の子らには乏しいよな。
早めのおやつを食べて、昼寝をさせる。
こういう急いでいる時に限って、よく食べる。
お昼ご飯は魚だったから箸が進まなかったのか。
栄養バランスを考えれば嗜好性が低下して食べなくなるし、
好きな物を食わせれば、偏ってしまう。
特に不調の時が難しい。
平成24年11月11日(日)
今日は先週学校を休んだ分の勉強を取り戻すため、
朝からおママと猛勉強。
いつもの小学校並の時間配分だった。
![]() |
Hも(ごく希に)四つん這いで顔が上がるように。 |
同年齢の子と比べると、格段に運動量が少ない。
それが、ますます発達を遅らす要因になるのではないか。
悪循環で。
ホントはもっとHを動かしてやらなならんのだけど、
それがなかなか難しい。
平成24年11月12日(月)
Sは今日から学校へ。
病み上がりなので疲れたようだ。
早く寝かせるに限る。
![]() |
Hのために、自分のオモチャの 電池を入れ換えようとするS。 |
結果的に皿を舐めただけだったが、
Sが自らドライバーを握ったのは初めてだ。
なんという
Hはここのところキーキーで機嫌が悪い。
思えば、歯茎のマッサージを始めて歯ぎしりが減ったし、
もっと体を動かしてやれば、癇癪も減りはしまいか。
でも、それが一番難しい。
食後は吐き戻しやすいし、風呂後は汗をかかせるのも・・・。
なかなか生活と時間が合わないのだ。
ふむ〜・・・。
Hを預けていた保育園から、
「今日はボーっとしていた、いつもと違う」
との指摘を受けた。
やはり体調がよくないことは確かなようだ。
平成24年11月13日(火)
今日はジジババ様がSとHに会いに来て下さった。
Hは車に乗り込んできたジジババ様に大泣きしたそう。
そういえば、車に誰かが入ってくるのは、初めてだ。
さすがは小学校3年生のS、
以前のように手が付けられないほどハイになることはなくなった。
ちゃんと先に寝てくれるようになったので、大助かりだ。
平成24年11月14日(水)

ジジババ様と遊ぼうと、放課後一目散に帰ってきたS。
あれとあれとあれをやりたいと、時間を決めてこなしていた。
![]() |
でもやっぱり負債超過。 宿題は夜までかかった。 |
ちょっと疲れがあるようで、自ら横になることもあるS。
病み上がりだからな。
Hは元気だ。
平成24年11月15日(木)
Hは夜中に何度か咳き込んだそう。
Sのマイコが移った可能性もあるが、昼には咳がない。
たぶん違うだろうなと思いつつ、でもこの食欲のなさ。
少なくとも何らか調子がイマイチなのは確かだ。
![]() |
アイロン台も舐めまくり。 火傷するぞ。 |
夜寝時間になって、Sが明日の放課後遊んで帰りたいと言い出した。
というか、早く寝ろよ
まだ病み上がりだし、またサッカー行けなくなんじゃね?
あれもこれも全部って無理だろうがよ。
ブータレながら、普段脱ぎっぱなしのジャンバーなんかたたみだすS。
それより早く寝ろってんだ
まあ、明日考えればいいことは明日考えろ。
というか、眠くて思考が止まってんじゃん
普通なら失敗して覚えるところも、こっちはそれが許されない。
かといって全て手取り足取りでは、いつまで経っても考える力が養われない。
この相反する事態に、いつもジワジワと締め付けられて息が苦しい。
平成24年11月16日(金)
Hの耳の検査結果を聞きに、藤が丘病院へ。
前回の検査で、右耳は耳垢を取れば正常に近くなるのではないかとされていた。
l
しかし結果は・・・やはり言語取得にギリギリどうかというボーダーラインだった。
聞こえにはムラがあり、聞こえる音域と聞こえない音域があるようで、
つまりは「専門の先生に診てもらう必要がある」とのこと、
紹介状を頂いた。
改善の期待があっただけに、残念でならない。
でもまぁしかし、逆に考えれば補聴器とか付ければ問題ない程度とも考えられる。
何とかなるさ!
これしかない
![]() |
おママ服薬の工夫。 |
![]() |
トロミ付けで粘性を高めれば、 隙を見て吐かれることもない。 |
![]() |
「指さし」ブーム。 |
結局Sはきっちり放課後遊びをして帰ってきた。
今週末はハードだが、大丈夫かな・・・。

平成24年11月17日(土)
今日のSは作品展。
小学生どもは午前授業。
登校しようとしたところで、おママはSがいつもと違うジャンバーを着ていることに気が付く。
いつも同じのしか着ない
アンタあれ、あの上着はどうしたのよ?
S「・・・ない。」
ゴルァアアア!
無いなら無いって言わないと!
別に意図的に隠しているような感じはない。
深く考えることなく「ま、いっか」と流してしまう感じ。
しかしあまりに頓着がなさすぎる。
困ったモノだ。
とにかくSは学校に行かせる。
ハテは運動塾に忘れてきたか。
電話してみるもアテは外れる。
Sの事だから、道ばたに落としても気が付かないだろうな・・・。
諦め掛けたその時。
ふとランドセル棚の一番下の段(服は中段)を覗き込んだおママがSのジャンバーを発見。
そういえば木曜の夜、金曜の放課後に遊んできたいとかゴネたとき、
珍しくジャンバーをたたんでいたよな。
それも丁寧に
慣れんことするから、入れる所を間違えたか。
まぁ、いずれにせよ良かった良かった。
お昼の終業時間に併せて、学校に出かける。
しかし雨がひどく途中でHが濡れてしまったので、私とHがUターン。
Hとて、好調にはほど遠い。
無理はできない。
しばらくして2人が帰宅、おママがSの作品を褒めちぎる。
どれどれ。
![]() |
マンモス。 確かに個性的だ。 日本、いや世界中が「上を向く」好き。 空に突っ張った鼻、不揃いの牙が味になっている。 |
Sは「一番太い木を切ったって(先生に)誉められた!」
とても嬉しかったのだろう、もう軽く10回は聞いている。
そして、
| エーダ君。 おそらくSオリジナルキャラクター。 |
![]() |
S「黄色い毛糸(頭)が笑われるかと思った。」
おいおい、これは確かに素晴らしいぞ。
おまけに写真は各自撮影、場所も自分で探したのだそうだ。
ずっとカメラに触ってきたからか、写真もとてもトレビアン。
![]() |
自信ありゲなS。 |
S「太いのはクラスで1番。隣のクラスの子は、もっと太いの切ってた。」
それはどうでもいい。
夕方、Sがどうしてもオモチャ屋に連れて行けとうるさい。
おママの体調もイマイチなので、Sと2人で出かけることに。
売り場では、うろうろと目的のモノを探している様子。
あった!とダンボール戦機のプラモを手に取るが、高くて断念。
ところがそれで諦めて帰るかと思えば、
ボール落としゲーム(対象年齢5歳以上)を手に取った。
いったい今何歳よ
オマエ確かPSPが欲しいって言ってたよな?
(踵体重を直せたら、オレが買ってやるって約束している。)
そんなんで(ソフト買う)お金が貯まるの?
S「・・・サンタさんにお願いする。」
な、何だって?!
まだ信じて
というか、本体はどうすんだ、S。
え?!本体をサンタさんにお願いすんのか?!
努力せんと欲しいモノはいつまでも手に入らんぞ、Sよ。
ナゼならおパパはサンタさんと仲良しだからな。
![]() |
ずっと探していた、足裏が付く椅子。 |
もともとSに頂いた椅子で、ずっと使ってきていたのだが、
ベビー用のアタッチメントがあることに気が付いた。
これはいい感じ!
足裏を付けること。
背筋を伸ばすこと。
両方が叶えられる。
しかも視野が私たちと同じになり、
目から入る情報も格段に増える。
また一つ改善だ。

平成24年11月18日(日)
![]() |
安定感も抜群。 |
今日はとても忙しい。
午前はサッカー、午後は地区の畑の収穫イベント。
夜はこれまたサッカーの忘年会である。
![]() |
ずいぶんとらしくなってきた。 |
午後は畑で収穫体験。
![]() |
ミカンにサツマイモ。 Sはこういうのも大好きだ。 |
ただいま〜!!と元気に両手一杯のミカンやサツマイモ、配られたお菓子を持って帰ってきた。
![]() |
お菓子天国、ヨリドリミドリ。 ジジババ様からもお菓子を頂いたし。 |
マイコを克服し、食欲も上がっている。
食事が終わるまで席を立たない(途中で横になって休まない)を実行中。
夜、忘年会に向かう前にトイレに駆け込むS。
S「水だった・・・。」
うおう、水様便?!
どうした急に・・・。
まぁ、元気なので参加させるが・・・う〜ん・・・。
とにかくおママとSを車に乗せ、会場に送り込んだ(オレとHは送迎係)。
![]() |
チャイルドシートもバージョンアップ。 |
家でのHと一対一の時間は、発達の促しを行う絶好のチャンス。
が、それがなかなか難しい。
静かに1人遊んでいたり寝ているときは解放タイム、他の用事をしてしまいがち。
ギャーギャーうるさい時はお腹が空いたり眠いときだから、運動には適さない。
結果、何もすることなく1日が過ぎてしまう。
ちっ、今日も同じ事をやっちまった。
とにかくもう時間、再度迎えに出かける。
ところが・・・会の2時間を過ぎても店から出てくる気配がない。
おママから「会はまだ終わりそうにない」「Sが帰ろうとしない」との電話が入る。
余程楽しいのか、おママの手を振り払って逃げてしまったそうだ。
しばらくしてまた電話「帰ろうとしたらデザートが出てきて、帰れなくなった」と。
ならデザートを食べたら帰る約束してくれよ。
それで何とか手を打ってくれたそうだ。
結局2人が店を出てきたのは、それよりしばらく経ってからだった。
デザート争奪ジャンケンや残しちゃだめジャンケンが始まって、出られかったそうだ。
そして追い打ちが、更なる水様便。
こりゃぁ・・・。
ところがお腹の心配以外、おママはとても機嫌がよい。
お店は居酒屋、子供達だけ部屋を仕切っての放置状態。
チラチラ見えた様子からは、Sはしっかりみんなと混じって遊んでいたそう。
あのSが・・・。
公園で奇声を上げながら浮きまくっていたあのSが、
クラブチームの屈強な子達の中にとけ込んでいる。
厳格な食事制限が必要だったあのSが、
みんなと同じモノを食べている(生もの以外)。
ちょっと今までにない光景で、軽い感動を覚えた、と・・・。
![]() |
ツワモノどもの宴。 |
帰宅後満腹で倒れ込むS。
焼きそば食べた何食べた、コーラ飲んだカルピス飲んだ・・・暴飲暴食の実態を暴露。
しかし体重は漏洩著しく29kgちょうど。
でも今回は自分の体を知るとても良い機会になっただろう。
アルコールが入るようになる年齢になる前に、
自分をコントロールできるようにならなければならない。
お腹は、もしかして緊張かもしれない。
とにかく大崩ししないことを願いつつ、おまじないとしてS錠剤を倍量飲ませた。